Так получилось, что с 13 апреля я работаю в Первая Градская Больница Им.Пирогова, терапевтом приемного отделения госпиталя Covid-19. Ответственными людьми за эти перемены в моей жизни считаю Павел Бранд и Алексей Свет, за что вам отдельная благодарность, мужчины. Алексей Викторович всё сетовал, что никто из докторов не пишет ничего, подобно Evgeny Pinelis. Вот я и решил разродиться, глядишь порадую.
Я опущу описание своих суток, фотографию переносицы и прочие популярные атрибуты бойца с Covid, которыми пестрят социальные сети и перейду к гораздо более интересной теме (на мой взгляд), которую я нарыл за последнюю неделю.
Почти всё свободное время в приемном отделении я посвящаю изучению историй болезни. Я смотрю снимки КТ тех пациентов, у которых можно оценить динамику - и иду анализировать их истории. Какие у них показатели крови, какая терапия и т.д., чтобы выявить какую-то взаимосвязь в отсутствии динамики, в наличие положительной или отрицательной динамики.
И, как мне кажется, я наткнулся на один примечательный момент.
Стандартная терапия пациента с ковидом в наших реалиях предполагает использование плаквенила (противомалярийный), калетры (противовирусный), антибиотиков (против бактерий), жидкости. У ряда больных к терапии добавляется фраксипарин (антикоагулянт).
Так вот, я обратил внимание, что если больному "обогащают" эту схему клексаном (еще один антикоагулянт) - отмечается явная положительная динамика.
Что я понимаю под положительной динамикой:
- изменения в анализах крови в нужную нам сторону (уходит тромбоцито- и лимфопения, снижаются маркеры воспаления)
- происходят положительные изменения на КТ легких.
- больной либо переводится из ОРИТ обратно в отделение, либо не попадает в ОРИТ.
Для себя, я смог объяснить этот феномен вот этой статьей https://www.ncbi.nlm.nih.gov/pmc/articles/PMC2663480/ согласно которой можно сделать вывод о том, что клексан будет эффективнее фраксипарина. Но почему антикоагулянты? Ведь вирусная пневмония, цитокиновый шторм и вот это вот всё? Ответ я нашел не сразу.
Случайно, я попадаю на вебинар Джованни Ландони, который является реаниматологом, профессором из Италии в госпитале Сан Рафаэль (https://research.hsr.it/…/intensive-c…/giovanni-landoni.html). Через его ОРИТ в период с начала марта по середину апреля прошло примерно 850 ковид+ больных. Джованни, 20 раз акцентировался на важном слайде, который гласит: COVID-19 стоит расценивать как болезнь, которая приводит к повышенному тромбообразованию. Об этом он, в соавторстве со своими коллегами написал статью в которой вообще предлагает переназвать COVID-19 в MicroCLOTS (microvascular COVID-19 lung vessels obstructive thromboinflammatory syndrome). Прочитать её можно тут https://www.ncbi.nlm.nih.gov/pubmed/32294809.
20 раз сделав акцент на тромбообразовании, Джованни 40 раз сделал акцент на том, что лечение должно проводиться любыми доступными вам антикоагулянтами, лишь бы антикоагулянтами. Примечательно, что калетру (тот который противовирусный) с 19 марта они не используют вообще, ни у кого. Плаквенил (тот который малярийный) - продолжают использовать, однако связи с положительной динамикой они, как я понял, не видят. Антибиотики, если не выявлен возбудитель и не доказано бактериальное поражение - не используют. Пам-пам. Т.е. по сути, лечат антикоагулянтами.
Тогда я полез искать информацию о том, пишет ли ещё кто-то о антикоагулянтах и коронавирусе.
Нашел обращение греческого доктора из университета в Афинах, которое вышло 18 апреля https://www.ncbi.nlm.nih.gov/pubmed/32304577. Доктор пытается призвать внимание общественности к коагулопатии с развитием ДВС-синдрома.
После этого нашел статью ни где-нибудь, а в Ланцет. Свежую, от 21 апреля. Авторы также сообщают нам о коагулопатии, высоченном риске тромбозов и необходимости ранней антикоагуляции. https://www.thelancet.com/…/PIIS0140-6736(20)30926…/fulltext
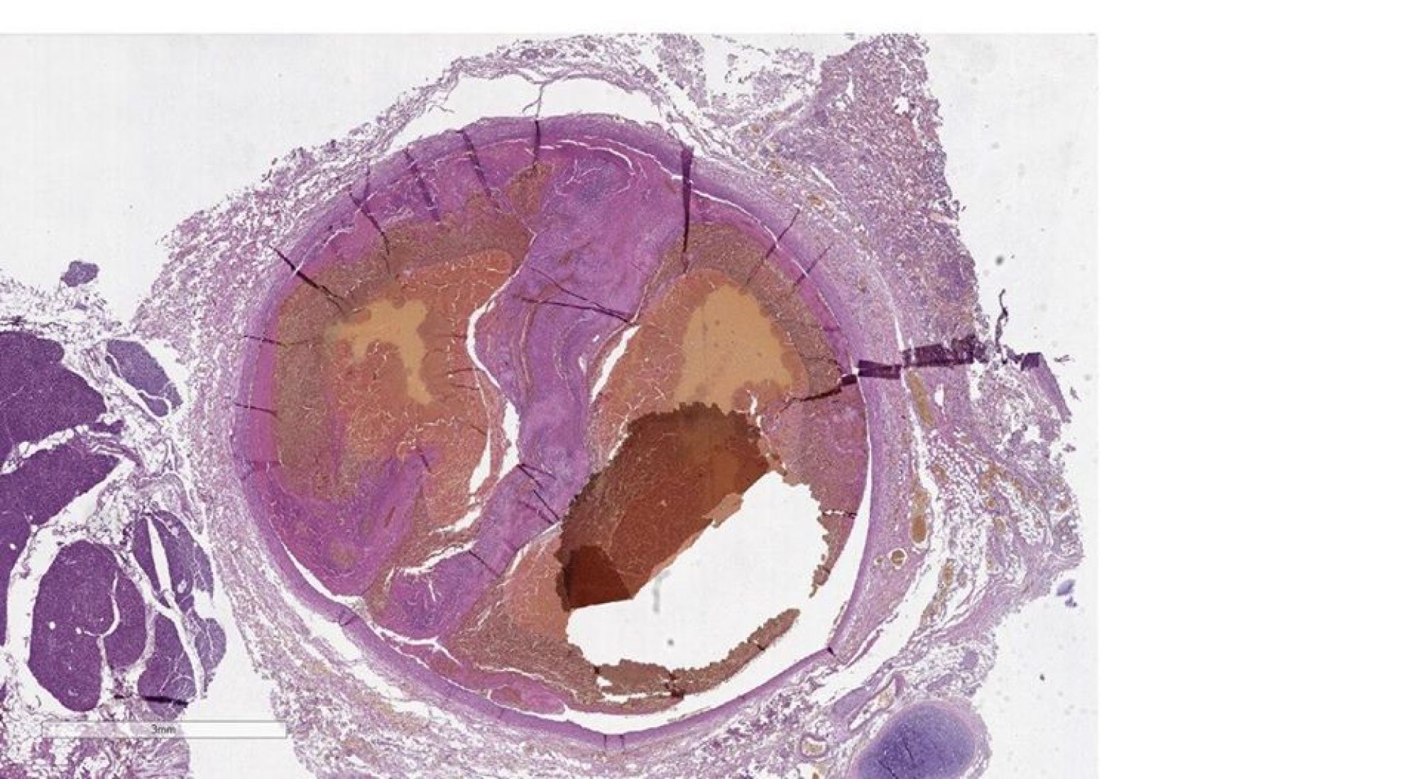
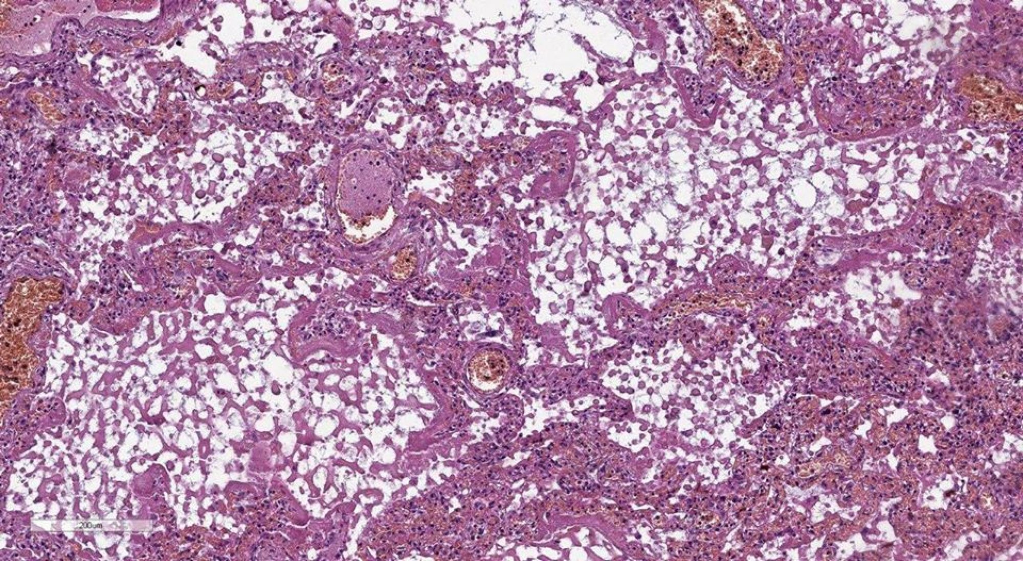
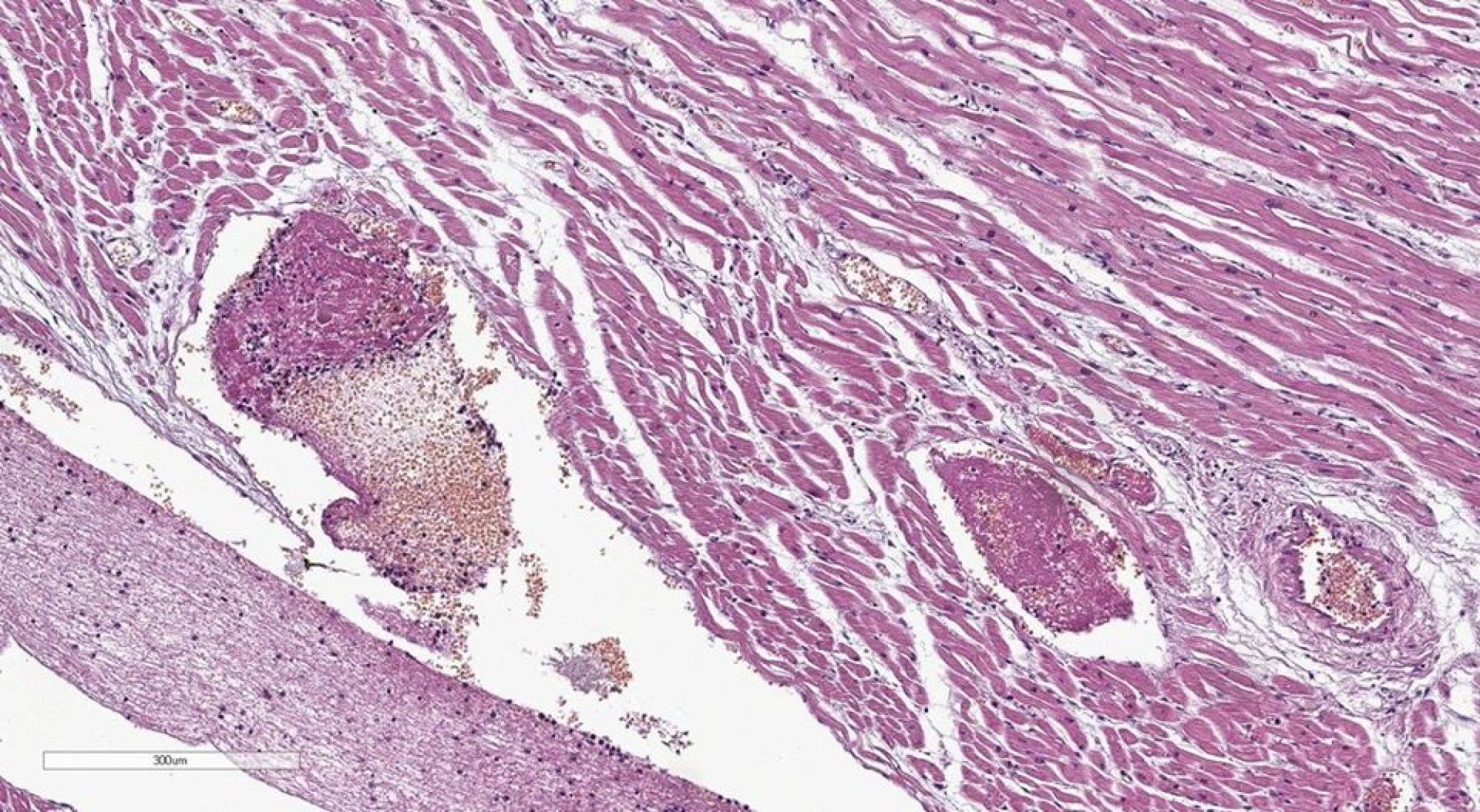
И практически убедившись в том, что я постиг что-то сокровенное и сокрытое ото всех, я случайно знакомлюсь с прекрасным патоморфологом Лилия Селиванова, с которой мы общаемся по переписке. Лилия занимается исследованием умерших пациентов с ковид+. И видит, что у большинства умерших от коронавирусной инфекции были тромбы: в легочной артерии, в мелких венах, в коронарных артериях, картина практически идентичная у всех больных. Ни в одном случае не было бактериальной пневмонии. Альеволы заполнены отечной жидкостью, гиалиновыми мембранами, десквамированными альвеолоцитами, где-то были эритроциты.
Причем Лилия также замечает, что примерно 1/3 больных, были молодыми, накаченными мужчинами, что лично я связываю с возможным использованием стероидов или гормона роста, которые у культуристов ассоциированы с развитием тромбоза (https://www.ncbi.nlm.nih.gov/pubmed/30267392) и гипертрофической кардиомиопатии (https://www.ncbi.nlm.nih.gov/pmc/articles/PMC3305148/). Но для подтверждения моего объяснения - необходимо брать анализы на тестостерон и соматотропин. Что, конечно, вряд ли кто-то делает у этого пула больных при посмертном анализе.
Какой из этого всего я делаю вывод для себя и своей семьи (никого, ни к чему не призываю). Если/когда я заболею и это будет вызывать дыхательную недостаточность и я смогу удерживаться дома и не госпитализироваться, то я:
1. как можно раньше начну антикоагулянтную терапию.
2. не буду использовать гидроксихлорохин. Оценка его эффективности привела к вынужденной остановке исследования в Бразилии https://jamanetwork.com/…/jamanetworkop…/fullarticle/2765270 ввиду высокого риска смертности от жизнеугрожающих аритмий.
3. не буду использовать калетру. Не понимаю как она должна помочь, плюс она также увеличивает риски развития нарушений ритма сердца и токсического поражения почек.
4. буду использовать антибиотики только в случае если докажу наличие бактериального поражения. В противном случае - не буду принимать антибиотики
5. не буду знать что делать с антиагрегантами. скорее, не буду использовать, для того чтобы не наращивать риски возможного кровотечения (см. п.1)
6. остальной менеджмент - симптоматическая терапия.
7. и да, пожалуйста не подключайте меня к ИВЛ. В пользу этого говорит не только базовая медицина (см.фото из учебника Harrison's), но и пугает статья на JAMA https://jamanetwork.com/journals/jama/fullarticle/2765184 авторы которой удивили меня статистикой смертности у пациентов на ИВЛ. 89% это конечно че-то многовато. Понятно, что методология подсчета была нарушена (об этом можете почитать тут https://twitter.com/DrJohnScott/status/1253284899752009728), но обилия плюсов от ИВЛ я всё ещё не могу найти. Поэтому скорее нет, чем да. Но тут как пойдет. Не будут же врачи молча и безучастливо наблюдать за тем как нарастает дыхательная недостаточность... Такое себе зрелище для бездействия.
Кстати из той же статьи на JAMA - некурящих людей аж 84%. Не успел углубиться в эту тему, возможно это наблюдение объясняется сниженным количеством АСЕ2 рецепторов у курильщиков. Возможно, причины в другом. Надо почитать поглубже. Но пока руки не дошли.
В общем-то это все, что я хотел вам поведать.
Будьте здоровы и берегите себя.




